
Una nueva prótesis ocular ha logrado devolver la visión a personas con ceguera irreversible a consecuencia de una atrofia geográfica, la última etapa de una forma de degeneración macular asociada a la edad (DMAE), que afecta, aproximadamente a 5 millones de personas en el mundo.
Un equipo internacional de científicos europeos y estadounidenses llevaba dos décadas trabajando en el desarrollo de este dispositivo, que han probado con éxito en un ensayo con 38 pacientes de 17 centros hospitalarios de 5 países. Sus resultados aparecen recogidos este lunes en la revista New England Journal of Medicine.
Los 32 pacientes, de más de 60 años, padecían la citada atrofia geográfica por degeneración macular asociada a la edad, una dolencia, hasta ahora incurable, que va deteriorando lentamente la visión. En el momento del ensayo contaban solo con una visión periférica limitada.
Un año después de contar con el dispositivo, llamado Prima, 27 de los 32 participantes (el 84%) recuperaron la capacidad de leer letras, números y palabras a través del ojo que había perdido la vista.
Un microchip fotovoltaico inalámbrico
Prima es un dispositivo compuesto por dos partes, un microchip inalámbrico que se implanta en la parte posterior del ojo y unas gafas de realidad aumentada.
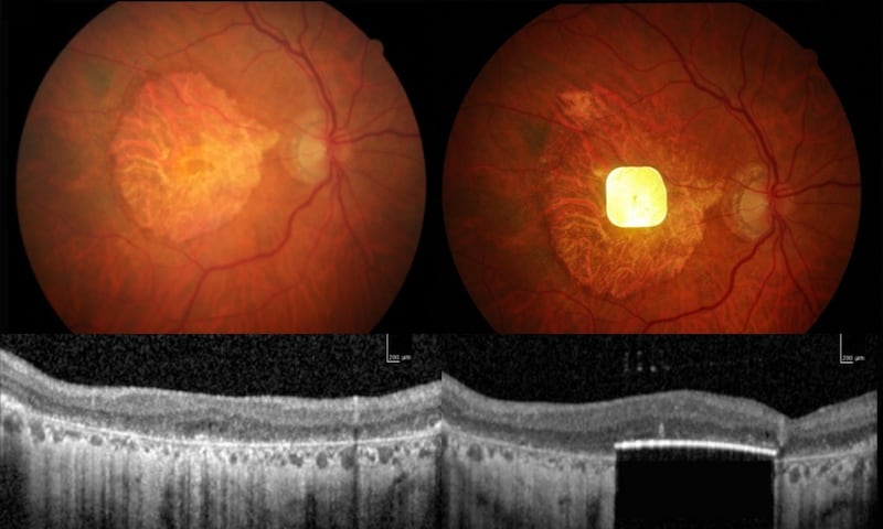
El microchip es ultrafino, mide 2 por 2 milímetros y tiene forma de tarjeta SIM. Se coloca en el ojo mediante un procedimiento llamado vitrectomía, mediante el cual se extrae el gel vítreo del ojo, situado entre el cristalino y la retina, y se inserta el chip bajo el centro de la retina del paciente.
Una pequeña cámara, instalada en las gafas de realidad aumentada, captura imágenes del exterior y las proyecta en tiempo real, mediante luz infrarroja, en el microchip instalado en el ojo.
El chip es sensible a esa luz infrarroja proyectada desde las gafas, y cumple las funciones de los fotorreceptores naturales que han sido dañados por la enfermedad.
El dispositivo es fotovoltaico y solo necesita luz para generar estímulos eléctricos, por lo que no necesita alimentación externa como otras prótesis oculares previas, que requerían algún tipo de “cable” que saliera del ojo.
El diseño permite a los pacientes utilizar su visión periférica natural junto con la visión central, a través de la prótesis ocular, lo que les ayuda a orientarse y desplazarse.
“El hecho de que una persona vea simultáneamente con la visión protésica y la periférica es importante porque pueden fusionarlas y aprovechar al máximo la visión”, señala uno de los autores, Daniel Palanker, investigador de oftalmología de la Universidad estadounidense de Stanford, en un comunicado del centro.
Fases de recuperado de la visión
Los pacientes comenzaron a usar las gafas de realidad aumentada entre cuatro y cinco semanas después de la implantación del microchip en el ojo. Aunque algunos pudieron distinguir los patrones de inmediato, la agudeza visual de la mayoría mejoró tras meses de entrenamiento, algo similar a otros implantes desarrollados para recuperar la audición.
De los 32 pacientes que completaron el ensayo de un año, 27 lograron leer y 26 mostraron una mejora clínicamente “muy significativa” en la agudeza visual, que se definió como la capacidad de leer al menos dos líneas adicionales en una tabla optométrica estándar.
Los participantes en el ensayo clínico lograron alcanzar una agudeza visual de hasta 20/42. Esta capacidad mejoró, de media, en 5 líneas, habiendo quien la recuperó en 12 líneas.
Los mayoría de participantes usan la prótesis en su vida cotidiana para leer libros, etiquetas de alimentos o señales callejeras o de transporte público.
Las gafas permiten ajustar el contraste y el brillo y cuentan con un zoom para ampliar hasta 12 veces. Según los autores, dos tercios de los participantes han expresado una satisfacción media-alta con el dispositivo.
Diecinueve de los 32 experimentaron efectos secundarios, entre ellos hipertensión ocular, desgarros en la retina periférica y acumulación de sangre bajo de la retina, pero las contraindicaciones se solventaron en un máximo de dos meses y no pusieron en riesgo la vida del paciente, informan los autores.
Próximos pasos
De momento, Prima solo ofrece visión en blanco y negro, sin tonos intermedios, por lo que los investigadores están desarrollando un software que permitirá distinguir toda la gama de tonos grises.
“El primer deseo de los participantes es leer, pero el siguiente es el reconocimiento facial, y para ello necesitamos un software que reconozca los tonos grises”, apunta Palanker.
Él y el resto del equipo trabajan también en chips que ofrezcan una visión de mayor resolución, y en gafas con aspecto más elegante. Otro de sus objetivos es probar el dispositivo para otros tipos de ceguera causados por la pérdida de fotorreceptores.
Este exitoso ensayo con humanos el dispositivo Prima es la culminación de décadas de desarrollo, prototipos y experimentos con animales.